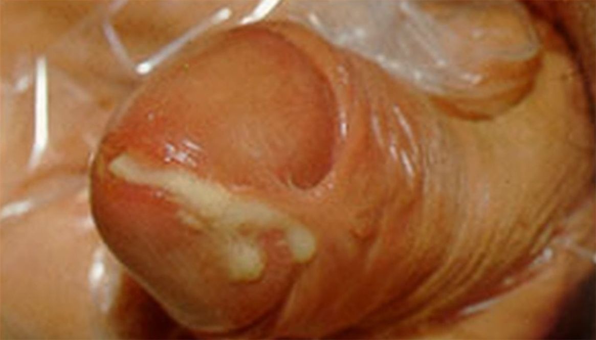
Enfermedades Venéreas 10746 0 Enfermedades de transmisión sexual GONORREA O BLENORRAGIA Neisseria gonorrea Por Dr. Mauro GLa gonorrea es una enfermedad de transmisión sexual muy frecuente en nuestra sociedad. Es una enfermedad que ataca sobre todo los órganos genitales y es causada por una bacteria que se transmite primordialmente a través de las relaciones sexuales. Es posible infectar a la pareja hasta tanto no se instaure el tratamiento. Esto representa un grave problema de salud pública, en el sentido de que muchas personas tienen una gonorrea y no lo saben, por lo cual son una fuente de contagio por años.DATOS GENERALES La gonorrea es una enfermedad que ataca sobre todo los órganos genitales y es causada por una bacteria que se transmite primordialmente a través de las relaciones sexuales. ¿Cómo se llama la bacteria que produce la gonorrea? El germen responsable de esta infección es un microorganismo llamado Neisseria gonorrhoeae, conocido como gonococo, que pertenece al grupo de las bacterias denominadas cocos gram negativos. FRECUENCIA La gonorrea es una enfermedad muy frecuente. Sin embargo, como suele tratarse de manera elemental, muchos casos no se reportan. Algunos autores afirman que uno de cada quinientos estadounidenses la ha padecido. CONTAGIO ¿Quiénes pueden contagiarse con gonorrea? Cualquier persona puede adquirir la enfermedad si mantiene contacto sexual con un individuo infectado. Si la madre está infectada, el riesgo también está presente para el hijo al momento del parto. ¿Cómo se contagia la gonorrea? Existen dos formas de adquirir la gonorrea: 1. Vía sexual: se requiere una relación oral, vaginal o anal con penetración o sin ella, para que el germen pase de una persona infectada a una persona sana. 2. Vía materna: la gonorrea también se puede transmitir al niño en el momento del parto vaginal si la madre está infectada. ¿Cuánto tiempo puede una persona contagiar la gonorrea? La gonorrea es infecciosa en el tanto no se instaure el tratamiento. Esto representa un grave problema de salud pública, en el sentido de que muchas personas tienen una gonorrea y no lo saben, por lo cual son una fuente de contagio por años. Si en el acto sexual no se produjo la eyaculación, ¿hay riesgo de que la enfermedad se transmita? El riesgo de contagio siempre está presente, incluso en ausencia de eyaculación, aunque es mucho menor. En mi casa tenemos perros y a veces expulsan una secreción por el pene. ¿Es posible que me infecten de gonorrea? A continuación presentamos una serie de actividades que no representan riesgo de contagio pero que, por equívoco, generan un enorme temor en la población. La gonorrea no se transmite en piscinas, gimnasios, servicios sanitarios o duchas, ni por alimentos o bebidas. Tampoco se transmite en actividades deportivas. No hay riesgo de contagio por visitar hospitales, asistir a reuniones o actividades con multitudes, compartir oficinas, aulas o medios de transporte como taxis, aviones y trenes, ni por tocar objetos como dinero o puertas. Tampoco se transmite por estornudos, tos o saliva. Esta enfermedad no se transmite por la utilización de prendas ni ropa interior; tampoco por el contacto con los animales, ni por tocar objetos contaminados con secreciones, ya sean asientos, vasos, cucharas, platos o máquinas, como las computadoras. Su transmisión requiere de un acercamiento sexual. De manera que no se transmite por caricias, apretón de manos, abrazos, ni en actividades artísticas como la danza o el baile. ¿Donar sangre representa un peligro de contraer gonorrea? Los donantes de sangre no corren ningún riesgo de contraer gonorrea, por cuanto el material que se utiliza es estéril y desechable. MANIFESTACIONES ¿Es cierto que en muchos casos la gonorrea no da síntomas? Lamentablemente, en más de la mitad de las mujeres no hay síntomas, o estos son tan inespecíficos y transitorios que la mujer no se percata de la enfermedad. En el caso de los hombres, afortunadamente el 90% suele tener síntomas evidentes, lo cual lleva al varón a acudir a la consulta. ¿Cuándo aparecen los síntomas? Las molestias se presentan entre los tres y cinco días después de la relación sexual infectante. En algunas personas, los síntomas pueden tardar un mes en aparecer. En los casos en que no hay síntomas, no se puede calcular cuándo se contrajo la infección. ¿Cuáles son los síntomas en el hombre? Los dos síntomas estelares son el ardor doloroso al orinar y la presencia de una secreción purulenta blanco amarillenta a través del caño de la orina. Como estos síntomas suelen ser intensos, el varón se da cuenta de que sufre la enfermedad. ¿Cuáles son los síntomas en la mujer? El ardor al orinar, la presencia de un flujo purulento, sangrados irregulares y el dolor en el bajo vientre, son las manifestaciones más comunes. Sin embargo, pocas mujeres tienen estos síntomas, por lo cual no se dan cuenta de que están infectadas. Esta es la razón de las frecuentes complicaciones en el sexo femenino. ¿Cuáles son los síntomas si la infección se produce en la zona anal? Es común también que la infección pase de manera silente. Solo en algunos casos da síntomas, como picazón, dolor, sangrado, secreción purulenta y molestias para defecar, tanto en hombres como en mujeres. ¿Cuáles son los síntomas si la infección se produce por contagio a través del sexo oral? En general, no se presentan molestias. Se ha descrito que a veces cursan con un cuadro típico de faringitis, es decir, con dolor al tragar, ronquera, dolor de garganta, flemas, entre otros síntomas. GONORREA Y EMBARAZO ¿Cómo afecta la gonorrea el embarazo? En algunas situaciones la gonorrea puede alterar el crecimiento fetal, provocar infecciones dentro del vientre del niño y las membranas y partos prematuros. ¿Cuáles madres pueden infectar al niño a la hora del nacimiento? Aquellas que sufren de la enfermedad y no han recibido tratamiento al momento de desencadenarse el parto vaginal. Si el niño nace por cesárea, no tiene riesgo de infección. ¿Cómo se diagnostica durante el embarazo? El diagnóstico durante el embarazo se realiza con los mismos métodos que se utilizan en las mujeres no embarazadas. Sin embargo, el diagnóstico suele ser difícil debido a los cambios hormonales y físicos característicos. ¿La mujer embarazada que tiene gonorrea recibe el tratamiento durante el embarazo o posteriormente? Como se cuenta con medicamentos que se pueden utilizar durante el embarazo, el tratamiento se da de inmediato, con el fin de evitar el contagio a la hora del parto y otras complicaciones. ¿La madre puede dar el pecho al niño? La gonorrea no impide la lactancia, y no altera la composición ni la cantidad de leche materna. ¿Cuáles daños se producen si un niño se infecta al momento del parto? El niño algunas veces desarrolla una conjuntivitis que, si no se trata, puede ocasionar daños permanentes en la visión y hasta ceguera. También, las articulaciones del bebé suelen ser blanco del gonococo y se presentan cuadros muy serios de artritis. Lamentablemente, la bacteria además puede invadir el torrente sanguíneo y generar infecciones generalizadas, las cuales pueden provocar la muerte. Por fortuna, con el tratamiento adecuado, el pronóstico es satisfactorio. DIAGNOSTICO ¿Cómo se diagnostica la gonorrea? En general, las pruebas se basan en la recolección de una muestra del sitio probablemente infectado, ya sea el pene, el caño de la orina, la vagina, el cuello de la matriz, el ano o la boca, y se realiza una sencilla prueba de laboratorio. ¿Se puede diagnosticar con la citología vaginal o Papanicolaou? El Papanicolaou se diseñó para diagnosticar lesiones precancerosas o cancerosas en el cuello del útero, no para detectar infecciones. Por eso, es poco frecuente que el Papanicolaou detecte esta infección. ¿Existe alguna prueba en sangre? No existe forma de determinar la presencia del gonococo realizando pruebas sanguíneas. Esto es una lástima, porque sería más fácil el diagnóstico de la enfermedad. TRATAMIENTO ¿Cuál es el tratamiento? En hombres, mujeres y niños, el tratamiento se realiza con antibióticos. Inicialmente, la mayoría de los casos cedía con las clásicas penicilinas, pero desde la guerra de Vietnam se han observado cada vez más gonococos resistentes a los tratamientos tradicionales. Por eso, en la actualidad es común que se apliquen esquemas basados en medicamentos de reciente aparición y sobrada eficacia. COMPLICACIONES ¿Cuáles son las complicaciones en el hombre? Las complicaciones más frecuentes son: • Prostatitis • Inflamación de las articulaciones • Estrechez del caño de la orina • Esterilidad ¿Es cierto que la gonorrea provoca esterilidad en el hombre? Si la gonorrea no se trata a tiempo o recibe un tratamiento inadecuado, es común que el germen avance hacia los conductos del testículo, lo cual provoca fuertes molestias, dolor testicular, y en algunos casos hasta esterilidad. Se me inflamó una rodilla y el líquido mostró que se trataba de una gonorrea. ¿Cómo llega la bacteria hasta ahí? Tanto en el hombre como en la mujer, es probable que la gonorrea avance hasta el torrente sanguíneo e infecte las articulaciones; esto ocasiona intensos cuadros de artritis séptica, donde la articulación dañada se llena de una gran cantidad de pus. He tenido varias veces gonorrea y desde hace un tiempo me cuesta orinar. El doctor me dijo que se debía a esas infecciones pasadas. En algunas ocasiones, la gonorrea provoca inflamaciones en el caño de la orina con acúmulos de pus, que al cicatrizar estrechan el caño y causan dificultades para orinar que en ocasiones perduran toda la vida. Soy un hombre de cuarenta años, y el ultrasonido reporta que tengo la próstata inflamada. ¿Podrá ser una gonorrea? Claro que sí. La prostatitis puede ser provocada por infecciones como la gonorrea y la clamidia. Sin embargo, es muy difícil comprobar si estas infecciones son las responsables. Por eso el médico realiza varios exámenes para orientar el diagnóstico. ¿Es cierto que las complicaciones son más frecuentes en la mujer? Sí. Las complicaciones son más frecuentes y más peligrosas en el sexo femenino, probablemente porque en muchas mujeres este germen no provoca síntomas, por lo cual no consultan y la enfermedad avanza y daña más. ¿Cuáles son las complicaciones en la mujer? Las complicaciones más frecuentes son: • Enfermedad pélvica inflamatoria • Esterilidad • Embarazo ectópico • Inflamación de las articulaciones • Inflamación de las glándulas vaginales de Bartolino ¿Cuáles son los síntomas de una enfermedad pélvica inflamatoria? Los síntomas más frecuentes son: dolor abdominal, dolor con las relaciones sexuales, flujos vaginales fétidos, fiebre y escalofríos. Tuve un fuerte dolor en bajo vientre. Me internaron varios días y el diagnóstico fue enfermedad pélvica inflamatoria. ¿En qué consiste esta enfermedad? La enfermedad pélvica inflamatoria la producen varias bacterias, entre ellas la clamidia y el gonococo. Se presenta cuando el germen asciende desde el área vaginal hasta la matriz, las trompas y las partes internas del abdomen, y desencadena una severa inflamación con acúmulos de pus en el abdomen. Me internaron para operarme por apendicitis, pero luego me dijeron que tenía una enfermedad pélvica inflamatoria. ¿Por qué? En algunos casos, los síntomas de esta enfermedad suelen ser tan intensos, que comúnmente se confunden con un cuadro de apendicitis. Hace años me diagnosticaron una enfermedad pélvica inflamatoria y, aunque he recibido varios tratamientos, cada cierto tiempo se vuelve a presentar. En algunas mujeres las molestias se acrecientan, y cesan por tiempos pero no desaparecen del todo, aunque se utilicen tratamientos sofisticados. Este cuadro se denomina enfermedad pélvica subaguda o recidivante. Tuve una enfermedad pélvica inflamatoria y el doctor ahora me dice que no puedo tener hijos. ¿Por qué? En algunas situaciones, la gonorrea puede obstruir o dañar las trompas de Falopio, que son los conductos donde se unen el ovulo con el espermatozoide. Por consiguiente, se condiciona un cuadro de esterilidad femenina. Hace tres años me diagnosticaron una enfermedad pélvica inflamatoria y luego me internaron por un embarazo ectópico. ¿Tienen alguna relación? Sí. Como la gonorrea obstruye y daña las trompas de Falopio, en algunas ocasiones el óvulo fecundado no puede movilizarse y se queda anidado y creciendo en la trompa. Este cuadro se denomina embarazo ectópico, el cual es una situación muy seria que requiere una cirugía oportuna, por cuanto pone en riesgo la vida de la madre y siempre acaba con la vida del futuro niño. Me fue creciendo un pelota en la vagina y me dijeron que era una gonorrea ¿Es cierto? Sí. En algunas mujeres el germen de la gonorrea puede dañar las glándulas cercanas a la vagina y provocar una inflamación e infección de la glándula de Bartolino, la cual se manifiesta con un abultamiento doloroso, rojo y caliente en los labios vaginales. Amanecí con una rodilla inflamada sin haberme golpeado. Cuando me sacaron el líquido, el doctor me dijo que era gonorrea. En algunos pacientes la infección avanza hasta el torrente sanguíneo e infecta las articulaciones, lo cual provoca intensos cuadros de artritis séptica, donde la articulación dañada se llena de una gran cantidad de pus. ¿Muchas mujeres pueden tener una enfermedad pélvica inflamatoria, un embarazo ectópico y hasta quedar estériles sin haber sentido molestias previamente? Lamentablemente, muchas mujeres enfrentan estas complicaciones, incluyendo la esterilidad, sin haber sentido síntomas y sin conocer que fueron infectadas por este germen. ¿Estas complicaciones son frecuentes? En ausencia de un tratamiento adecuado y oportuno, cerca del 20% de las mujeres enfrentará cuadros de enfermedad pélvica inflamatoria. En el caso del varón, se desconoce la frecuencia real de complicaciones. PREVENCION ¿Cómo se puede prevenir el contagio? Como hemos mencionado a lo largo de este documento, las enfermedades de transmisión sexual son muy difíciles de prevenir porque a veces no dan síntomas, por lo cual las personas no reciben tratamiento y contagian a otros. Además, la vida sexual es tan compleja y pleomórfica, que comúnmente las personas olvidan las normas mínimas de prevención, las cuales suelen ser bien conocidas. Entre estas medidas se destacan: 1. Evitar relaciones sexuales con personas de riesgo, como las prostitutas. 2. Utilizar el preservativo de manera estricta, correcta y constante. 3. Consultar ante la presencia de cualquier molestia genital. 4. Evitar las relaciones sexuales cuando se sufre de molestias genitales. 5. Realizarse chequeos periódicos si se mantiene una relación sexual con una pareja no habitual. 6. Ante el diagnóstico de gonorrea, avisar a las personas con quienes se mantuvo vida sexual durante el periodo de riesgo que el médico señale. 7. Efectuarse chequeos cuando se cambia de pareja sexual, o bien, cuando se conoce que la pareja habitual ha tenido relaciones sexuales con una tercera persona. ¿El preservativo es eficaz para evitar el contagio? En términos generales, es altamente efectivo. Sin embargo, es común que el preservativo se use de manera errónea, y esto expone a las personas al riesgo de infectarse. Además, la protección no es absoluta. Siempre existen casos en que, a pesar del preservativo, la enfermedad se transmite. Claro está, esos casos son poco frecuentes. Si una persona se contagió con gonorrea, ¿está protegida de una nueva infección por esa enfermedad? Claro que no. Una persona puede infectarse varias veces en la vida, porque la gonorrea no produce inmunidad natural. Así, los pacientes que han sido tratados pueden adquirir de nuevo el germen si tienen contacto sexual con personas infectadas. ¿Existe alguna vacuna para evitar el contagio? Desafortunadamente no existen vacunas para prevenir el contagio. Por eso la prevención y el tratamiento oportuno son fundamentales. RELACION CON OTRAS ENFERMEDADES ¿La presencia de gonorrea se asocia a la presencia de alguna otra enfermedad? De acuerdo con la literatura internacional, es frecuente que la gonorrea coexista con otras infecciones de transmisión sexual, sobre todo por clamidia. Nuestra recomendación es realizar estudios completos de infecciones sexualmente transmisibles, entre ellas sida, virus del papiloma, herpes genital, hepatitis B, clamidia y sífilis. ¿Hay alguna relación entre el virus del papiloma y la gonorrea? Recientes investigaciones sugieren intrincadas relaciones entre estos gérmenes, a saber: • La gonorrea provoca que el virus del papiloma sea más difícil de tratar. • La gonorrea aumenta la probabilidad de que el virus del papiloma desencadene un proceso canceroso. • La gonorrea aumenta la probabilidad de que el virus del papiloma desencadene cuadros de condilomas externos. • Antes de tratar el virus del papiloma, es recomendable determinar la presencia de la gonorrea, con el fin de diseñar un plan integral de tratamiento. ¿Hay alguna relación entre la gonorrea y el sida? Nuevos estudios indican que son probables ciertas interacciones entre estas enfermedades, a saber: • El paciente con gonorrea tiene mayor probabilidad de contagiarse con el virus del sida. • Además, una vez contagiado tiende a transmitir el sida más fácilmente. • El paciente con sida contrae con mayor facilidad la gonorrea. • En el paciente con sida, la gonorrea progresa de manera acelerada y provoca complicaciones más fácilmente.